Furnizori > Philips > Patologie digitală > Sistem de management al imaginilor (IMS)


Sistem de management al imaginilor (IMS)
PHILIPS
Software de Vizualizare pentru Patologie Digitală
-
Platformă digitală integrată, destinată gestionării și procesării imaginilor digitalizate pentru anatomo-patologie și histopatologie
-
Interfață modernă cu organizare clară a cazurilor și vizualizare intuitivă a lamelor
-
Tavă digitală de lame cu preview instant și indicatori vizuali ai completitudinii
-
Vizualizator avansat cu unelte de măsurare și adnotare pentru analiza țesuturilor
-
Integrare nativă cu AI, inclusiv status de analiză și acces direct la Ibex AI
-
Rezultate AI obiective și reproductibile care cresc acuratețea și eficiența diagnosticului
-
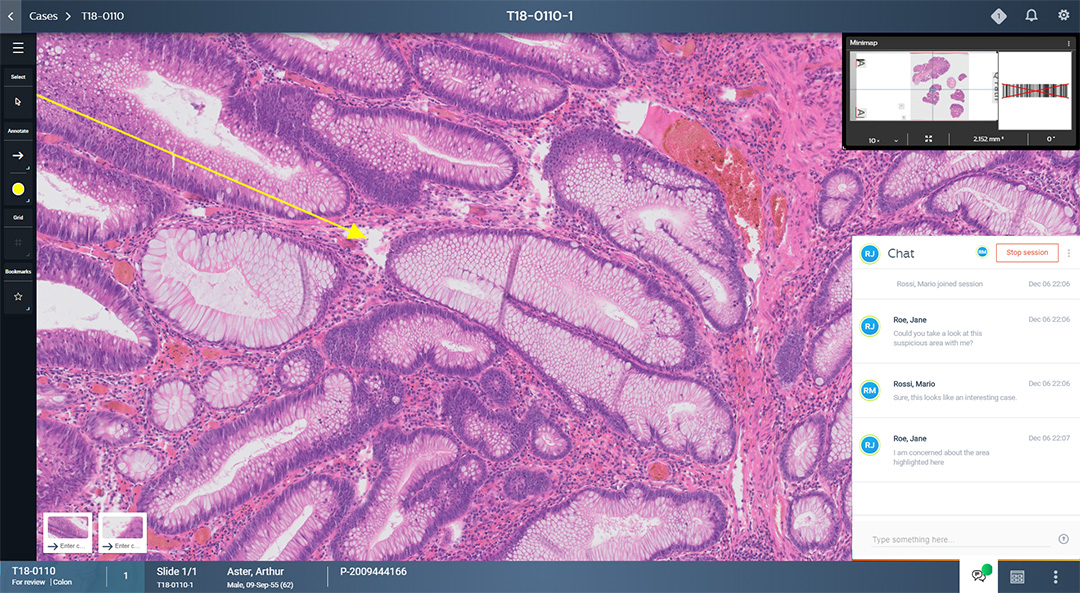
Workflow digital structurat și scalabil, cu suport pentru colaborare în timp real
-
Acces remote la cazuri și imagini, cu performanță optimizată pentru lucrul distribuit
-
Gestionarea inteligentă a listelor de lucru cu sortare, prioritizare și vizualizare rapidă
-
Interoperabilitate completă cu scannere multiple și compatibilitate vendor neutral
-
Integrare LIS cu organizare automată a cazurilor pe baza codului de bare
-
Suport pentru standarde clinice, inclusiv export DICOM JPEG2000
-
Scalabilitate pentru laboratoare de orice dimensiune, inclusiv rețele multi-site
O gestionare eficientă a fluxului de lucru
Lista de lucru personală organizată care indică vizual volumul de muncă.


Toate informațiile despre caz într-un singur loc
Tava digitală de lame cu detalii despre caz oferă o imagine de ansamblu clară a cazului.
Analiză avansată a țesuturilor
Vizualizator complet echipat, care oferă multiple unelte pentru lucrul cu țesuturi.

Datele pacienților sunt întotdeauna accesibile prin intermediul codului de bare, fără a fi necesară verificarea etichetelor de pe sticlă. După scanare, cazurile sunt organizate automat în dosare la nivelul pacientului (pe baza interoperabilității LIS).
Interfață modernă, optimizată pentru claritate și viteză
Interfața IMS este concepută pentru a oferi o imagine completă asupra volumului de lucru și asupra cazurilor active. Lista de cazuri este structurată clar, cu status vizibil, filtre rapide și o navigare intuitivă. Tava digitală de lame reproduce organizarea fizică a slide tray-ului, facilitând analiza structurată a blocurilor și secțiunilor.
Previzualizările instantanee ajută la verificarea calității țesutului înainte de deschiderea în vizualizator. Iconițele pentru adnotări, zone vizualizate, completitudine sau necesitatea unor secțiuni suplimentare reduc erorile și accelerează selecția cazurilor. Designul este orientat pe eficiență, astfel încât specialiștii să petreacă mai puțin timp navigând și mai mult timp analizând.


Analiză AI integrată pentru diagnostic augmentat
IMS acționează ca punct central pentru integrarea aplicațiilor de inteligență artificială, în special Ibex AI. Sistemul arată instant rezultatele analizei AI și progresul fiecărui caz, permițând lansarea dintr-un singur click către platforma AI fără întreruperi în flux.
Ibex AI evidențiază automat zone relevante, cuantifică biomarkeri și furnizează scoruri diagnostice reproductibile, sprijinind o decizie clinică mai sigură. Eficiența demonstrată în utilizare include
Această integrare poziționează IMS ca un sistem care nu doar stochează și afișează imagini, ci ridică nivelul de performanță diagnostică al întregului laborator.
Workflow digital eficient și scalabil
IMS susține un parcurs complet digital, de la recepția lamelor la analiza finală. Listele de lucru sunt structurate logic și reflectă în mod vizual stadiul fiecărei lamele, incluzând vizualizări rapide, slide placeholders și sortare după nivelurile de prioritate.
Previzualizarea slide-urilor ajută la verificarea completitudinii țesuturilor, iar colaborarea în timp real permite consultarea imediată între specialiști. Sistemul poate fi accesat și remote, ceea ce permite patologilor să revizuiască, să adnoteze și să colaboreze asupra cazurilor indiferent de locație, fără pierderi de performanță.
Structura suportă scalare pentru site-uri multiple, conectând fluxurile întregii rețele într-un ecosistem digital coerent.


Interoperabilitate și compatibilitate vendor neutral
IMS este construit ca o platformă deschisă, flexibilă și independentă de furnizor, integrabilă cu scannere de la Leica, Hamamatsu, 3DHISTECH, Glissando și alții. Laboratoarele își pot păstra infrastructura existentă, fără blocaje tehnologice sau forțarea migrării către un singur producător.
Integrarea completă cu LIS asigură organizarea automată a cazurilor pe baza codului de bare, iar suportul pentru export DICOM JPEG2000 lossless permite schimbul de date conform standardelor clinice.
Această abordare open face ca IMS să fie potrivit atât pentru laboratoare mici, cât și pentru rețele extinse sau instituții care vor să adopte AI și patologia digitală fără bariere legate de furnizare.